Diabetic lesions of the feet Case21
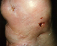
41 years old, female, type 1 diabetes mellitus, duration 15 years. Insulin therapy: insulin pump with H-Tronin. Wound healing disturbation at the right foot after amputation of toes
41 years old, female, type 1 diabetes mellitus, duration 15 years. Insulin therapy: insulin pump with H-Tronin. Wound healing disturbation at the right foot after amputation of toes
50 years old, male, type 2 diabetes mellitus, duration 22 years; ulcer of the right heel since September 1998, diabetic retinopathy, coronar heart disease, state after aortocoronary bypass
52 years old, male, type 1 diabetes mellitus with a duration of 27 years. Proliferative retinopathy, situation after cryocoagulation and vitrectomy bilateral
59 years old, male, type 2 diabetes mellitus, known since 11 years, therapy with insulin since one year, coronary heart disease; state after myocardial infarct in June 1998
61 years old, male, type 2 diabetes mellitus, duration of 25 years, insulin therapy since only one year with 3x normal and NPH insulin at night.